اسنان اونلاين | محمد البدراشيني

اختار و احجز عند افضل و اقرب دكتور اسنان فى دقائق

متاح الان
دكتور
محمد البدراشيني

عيادة دكتور محمد البدراشيني | DR Mohamed Elbaddrashiny

اخصائي طب الفم والاسنان

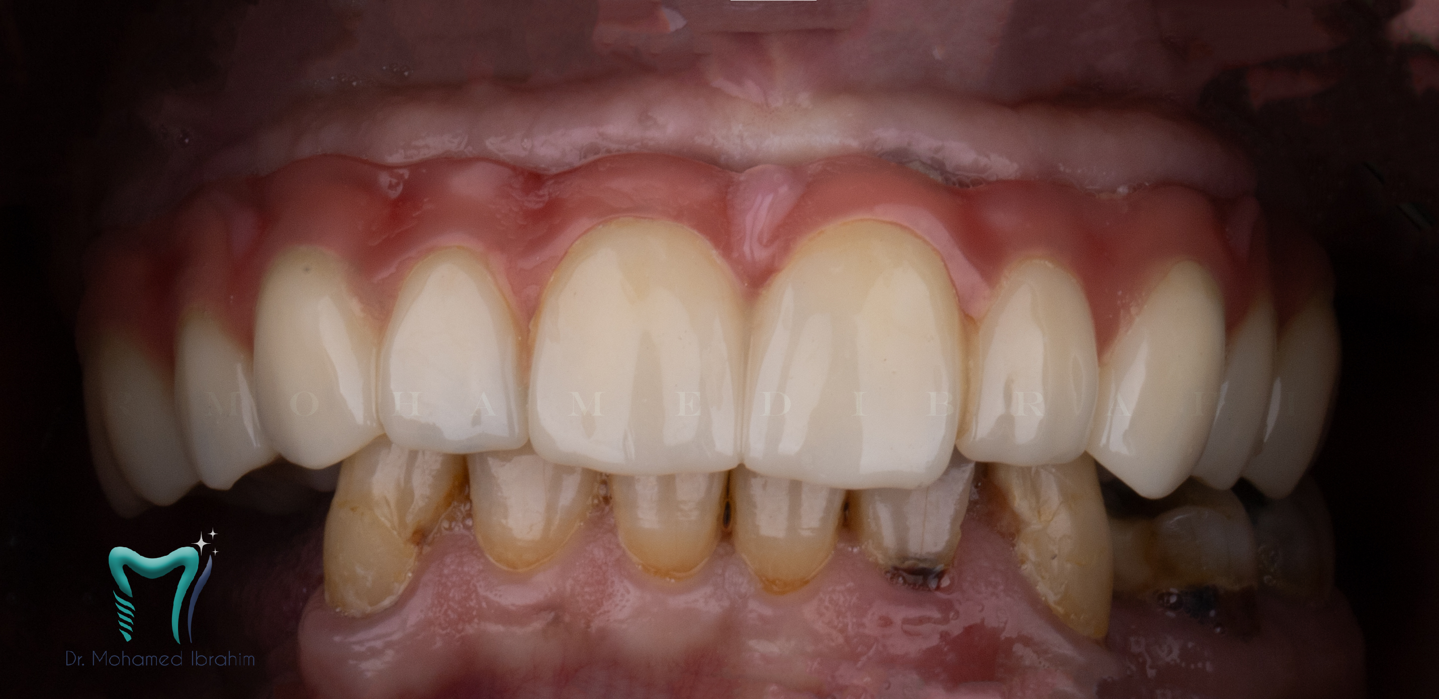
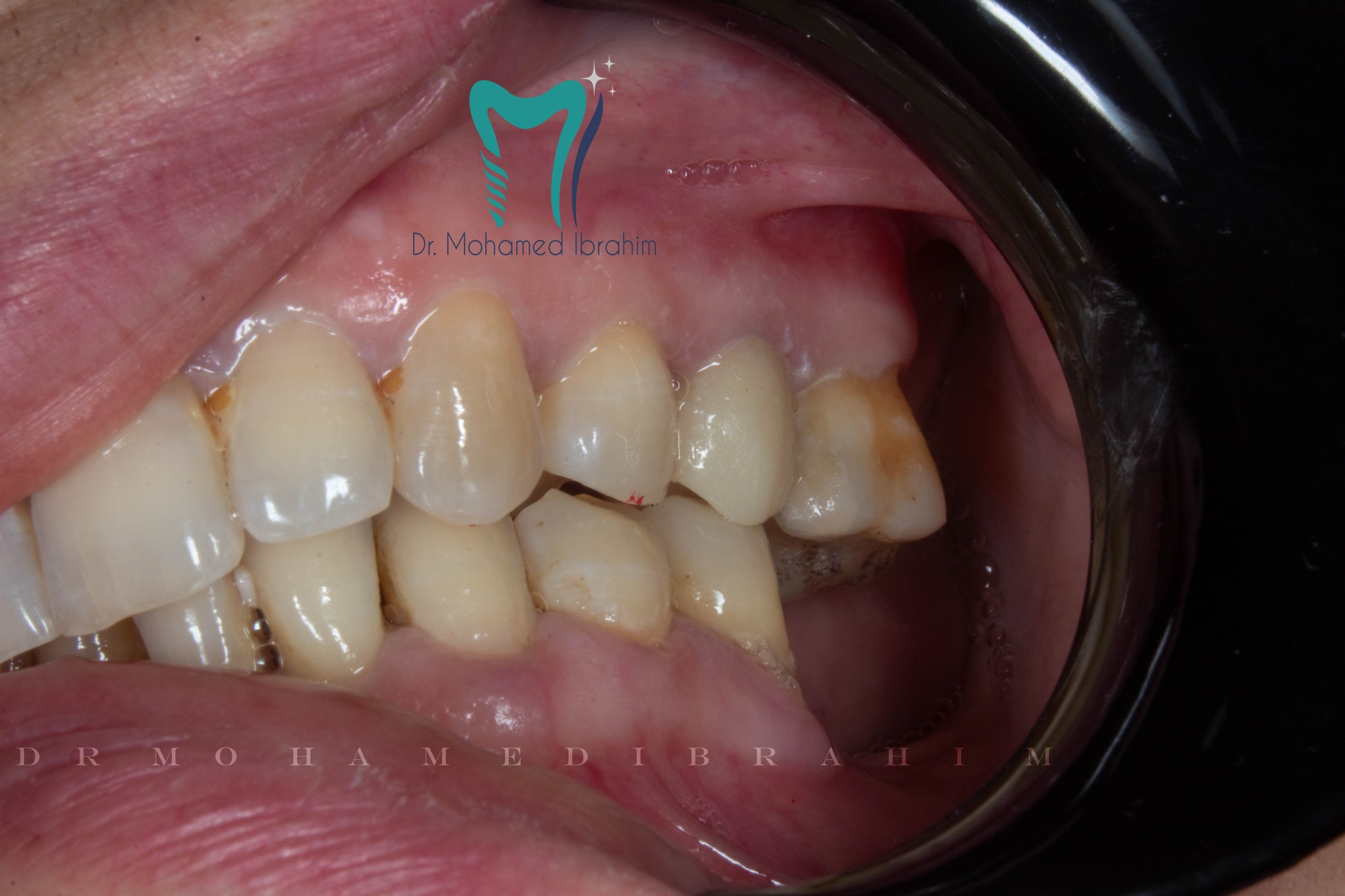
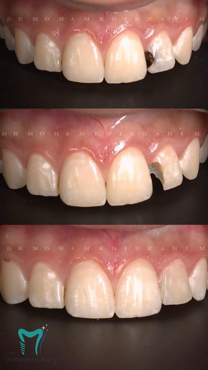
زراعة الأسنان
تقويم الأسنان
فينير الأسنان
تركيبات الأسنان الثابتة
علاج جذور الأسنان
حشو الأسنان
تبييض الأسنان
تنظيف الجير وتلميع الأسنان
أسنان الأطفال
جراحة الأسنان
الجيزة - الحوامدية : شارع صلاح سالم
الكشف : 150 جنيه

معلومات عن الدكتور

اسم العيادة

عيادة دكتور محمد البدراشيني | DR Mohamed Elbaddrashiny

العنوان

شارع صلاح سالم

المدينة

الجيزة

المنطقة

الحوامدية

فيديو

Loading...
جارى التنفيذ ...
08 الاربعاء
06:00 م
07:00 م
08:00 م
09:00 م
09 الخميس
12:00 م
01:00 م
02:00 م
03:00 م
04:00 م
05:00 م
06:00 م
07:00 م
08:00 م
09:00 م
10 الجمعة
غير متاح
11 السبت
12:00 م
01:00 م
02:00 م
03:00 م
04:00 م
05:00 م
06:00 م
07:00 م
08:00 م
09:00 م
متاح
محدد
محجوز

موعد الحجز

يوجد كابون خصم ؟
كوبون