الرئيسية
معلومات عنا
البحث عن طبيب
اتصل بنا
English
تسجيل الدخول
اختار و احجز عند افضل و اقرب دكتور اسنان فى دقائق
دكتور
أحمد علي محمد الكاشف
الكاشف لطب الأسنان
أخصائي طب الأسنان
زراعة الأسنان
تقويم الأسنان
فينير الأسنان
تركيبات الأسنان الثابتة
علاج جذور الأسنان
حشو الأسنان
تبييض الأسنان
تنظيف الجير وتلميع الأسنان
أسنان الأطفال
تركيبات متحركة
جراحة الأسنان
القاهرة
-
مدينة الشروق
: داون تاون مول
الكشف :
400
جنيه
معلومات عن الدكتور
اسم العيادة
الكاشف لطب الأسنان
العنوان
داون تاون مول
المدينة
القاهرة
المنطقة
مدينة الشروق
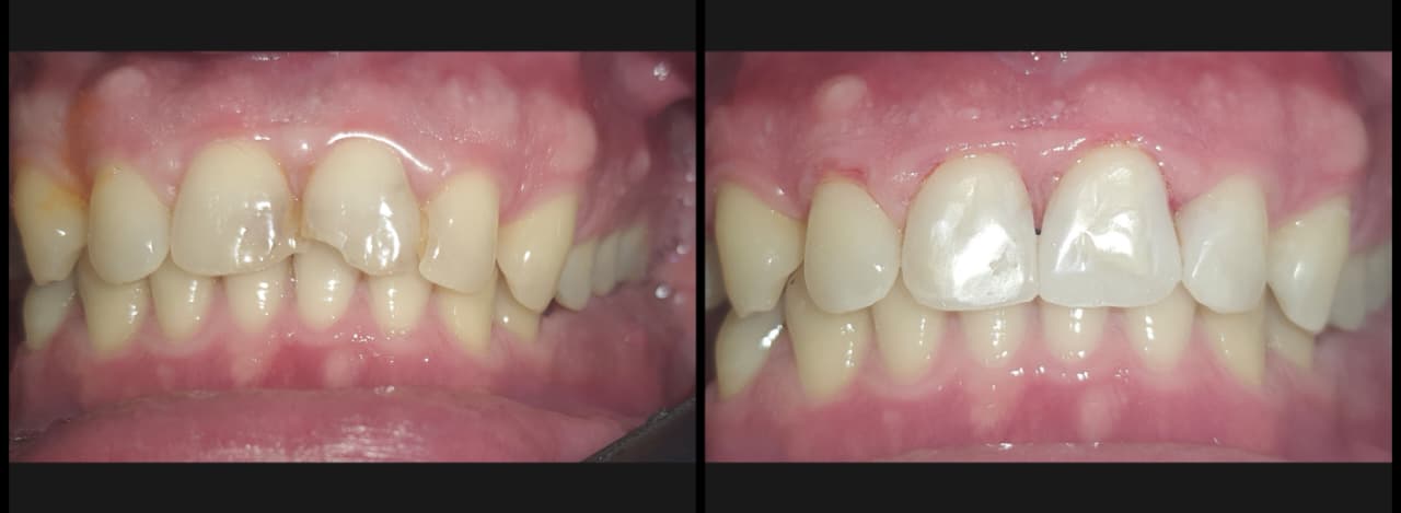
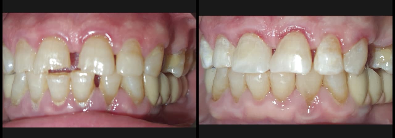
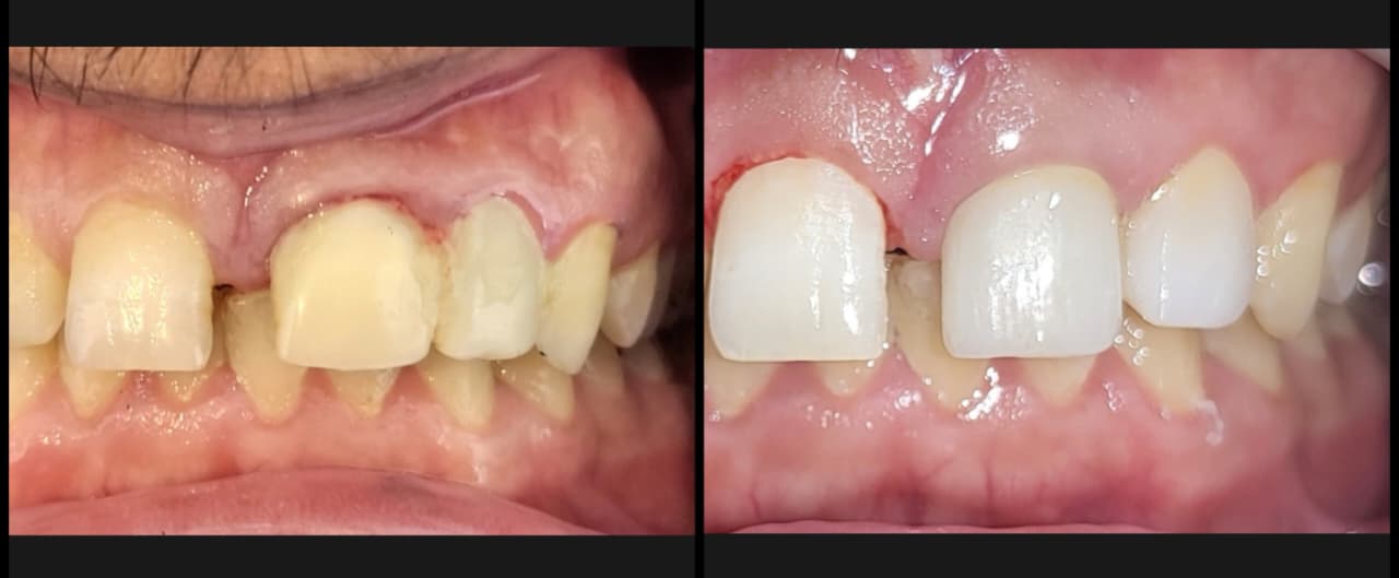
صور العيادة
Loading...
جارى التنفيذ ...
08 ابريل 2026 - 11 ابريل 2026
08 الاربعاء
غير متاح
09 الخميس
12:00 م
01:00 م
02:00 م
03:00 م
04:00 م
05:00 م
06:00 م
07:00 م
08:00 م
10 الجمعة
غير متاح
11 السبت
12:00 م
01:00 م
02:00 م
03:00 م
04:00 م
05:00 م
06:00 م
07:00 م
08:00 م
إظهار الجلسات المحجوزة
متاح
محدد
محجوز
موعد الحجز
يوجد كابون خصم ؟
يوجد
لا يوجد
كوبون
تأكيد
Loading...
احجز الان
400
جنيه
Loading...
ادخال بيانات الحجز
تأكد أن رقم هاتفك لديه حساب WhatsApp لإرسال معلومات الحجز.
الاسم الاول
الاسم الثانى
رقم المحمول
احجز الان
ادخال بيانات الحجز
تأكد أن رقم هاتفك لديه حساب WhatsApp لإرسال معلومات الحجز.
الاسم الاول
الاسم الثانى
رقم المحمول
تنفيذ كود الكوبون