Asnanonline | Mohamed Magdy nafea

choose and book with the nearest doctor

Search, book and discover... Reserve your place in just 3 simple steps.

Available now
Doctor
Mohamed Magdy nafea

Nafea dental clinic

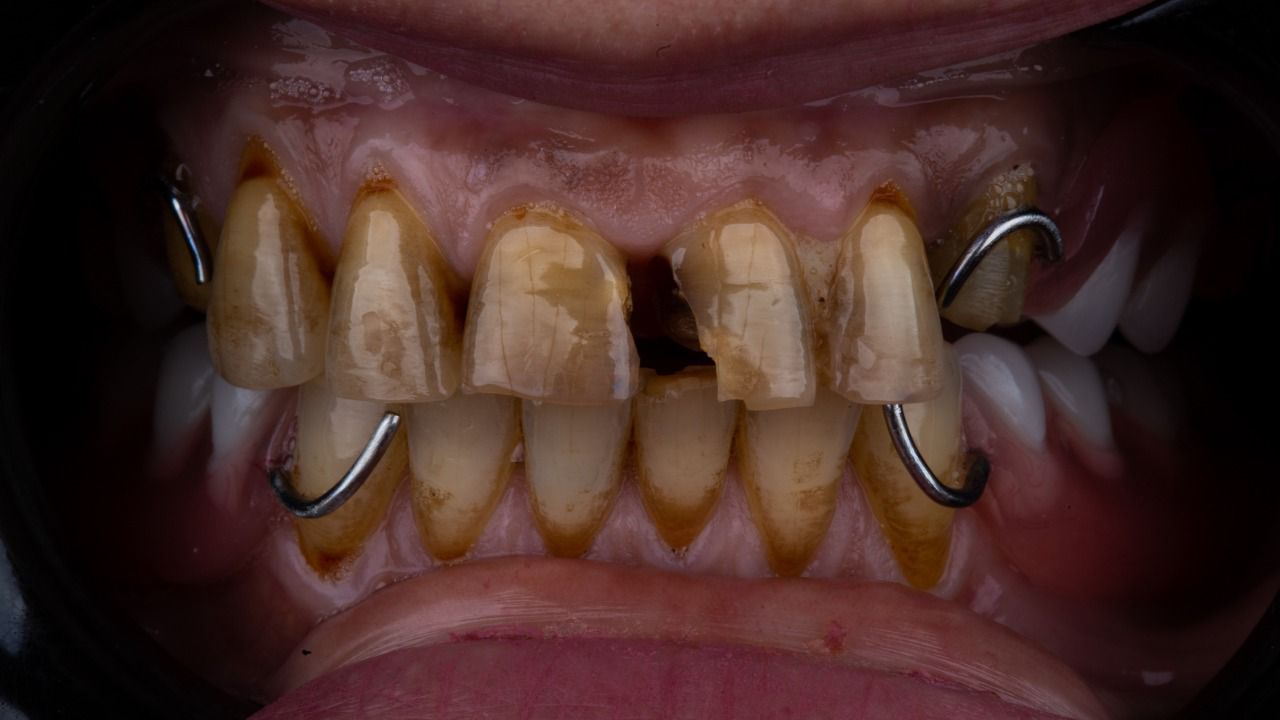
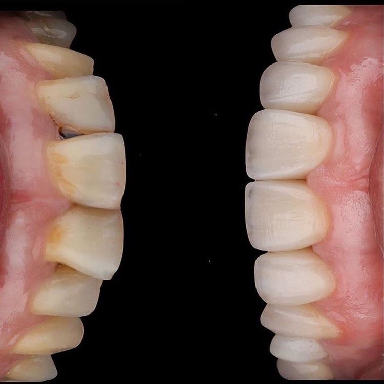
Consultant in fixed prosthodontics and dental implants

Dental implants
orthodontics
Dental veneers
Crowns
Root canal treatment
Fillings
Teeth whitening
Teeth Scaling and polishing
Children's teeth
Removable dentures
Dental surgery
Cairo - Nasr City : Tayaran Street, Nasr City
Consultation : 400 LE.

Information about the doctor.

Clinic name

Nafea dental clinic

ِAddress

Tayaran Street, Nasr City

City

Cairo

Area

Nasr City

Videos

Loading...
In progress ...
08 Wed
07:00 PM
08:00 PM
09:00 PM
10:00 PM
11:00 PM
09 Thu
12:00 PM
01:00 PM
02:00 PM
03:00 PM
04:00 PM
05:00 PM
10 Fri
04:00 PM
05:00 PM
06:00 PM
07:00 PM
08:00 PM
09:00 PM
11 Sat
08:00 PM
09:00 PM
10:00 PM
11:00 PM
Available
Selected
Booked

Booking date

Is there a discount coupon ?
Coupon